Drainage Procedure in Delhi
What is it?
Procedure in which a fine needle is placed into abdomen or lung cavity to drain out body fluids (under ultrasound guidance and local anaesthesia).
Something more to know: Word diagnostic and therapeutic
Diagnostic : small amount of fluid is taken out for testing
Therapeutic: Large amount of fluid is withdrawn for relief of patient

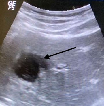
Ascites and Pleural fluid drainage
Why (Indications)?
To take out excess of fluid to know
- Cause of disease (Diagnostic)
- Temporary or permanent relief (Therapeutic)
What you are to do before procedure (Preparation)?
- Book prior appointment
- Visit us in OPD (9am-5pm) after breakfast, take prescribed medicine and with empty bladder(*No need to hold urine)
- Referring Doctor prescription, previous lab results (*PT/INR), imaging etc.
- If you are on blood thinner like Aspirin or warfarin inform during appointment.
- One accompanying person
- Need to sign a consent form for procedure
Approx. Stay in hospital?
We have very fast and competent working team (Consultant, fellow, clinical assistant, technician and ward assistant) which provide you comfortable atmosphere and ease your nerves. Usual time of stay is around two hours.
Complications:
These are very safe procedures with minor (<1%) complication done under local anaesthesia.
Mild pain can occur for which pain-killer medicines will be prescribed.
Mild risk of air entry into chest can occur, which can be managed by our team.
Resume to work?
You can resume your work after 4 hours if existing disease allows.
Results: When and How?
Sample fluid is sent for routine exam and culture of microorganism. Routine report takes 24 hrs. and culture can take up to 2-3 days.
For any Queries or Appointment please call 011 42251897/ +91 9958474870
What is it?
Procedure in which a hollow long pipe known as catheter is placed into the affected body organ by creating a fine tract in skin with the help of needle and wire under ultrasound guidance and local anaesthesia.
Catheter is connected with bag (Ohhh!!! My GOD)
**Don’t worry we have option for you If you are highly cosmetic conscious **

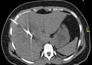
PCD in liver abcess

Before procedure liver abcess (arrow)

After procedure (PCD): shrunken liver abcess (black arrow) and drain (white arrow)

Types of drains- Malecot catheter and Locking loop pigtail catheter
Why (Indications)?
To remove the dirty and infected fluid from the body like liver abscess, pancreatitis collection etc.
What you are to do before procedure (Preparation)?
- Book prior appointment
- Visit us in OPD (9am -5pm) after early breakfast (before 7), take prescribed medicine and with empty bladder (*No need to hold urine)
- Referring Doctor prescription, previous lab results (*PT/INR), imaging etc.
- If you are on blood thinner like Asprin or warfarin, inform during appointment.
- One accompanying person
- Need to sign a consent form for procedure
Approx. Stay in hospital?
We have very fast and competent working team (Consultant, fellow, clinical assistant, technician and ward assistant) which provide you comfortable atmosphere and ease your nerves. Usual time of stay is around two hours.
Liver abscess, Renal abscess or any high risk procedure requires continuous monitoring for which we provide day care (4-8 hrs) facility.
Complications
These are very safe procedures with a minor (<2%) complication rate done, under local anaesthesia. You may have mild pain for which you may require oral tablets or injections.
Resume to work?
You can resume your work after 5-7 days if existing disease allows.
Results: When and How?
Sample fluid is sent for routine examination and culture of micro-organisms. Routine report takes 24 hrs. and culture can take up to 2-3 days.
For any Queries or Appointment please call 011 42251897/ +91 9958474870
