Musculoskeletal (MSK) and Sports Medicine

Genicular artery embolization (GAE), or embolization of the knee, is a novel minimally-invasive procedure providing immediate and long term pain relief for patients with osteoarthritis (OA), by reducing the blood flow to the lining of the knee, known as the synovium. It is performed by an Interventional Radiologist (IR), who is a specialist physician that uses X-rays and other imaging modalities to see in the body and treat diseases without surgery.
Why it’s done:
Genicular artery embolization (GAE) blocks the blood flow to the lining of the knee, known as synovium, that are inflamed. By blocking these arteries, there is a reduction in the amount of inflammation associated with osteoarthritis, a process that can help or eliminate the associated knee pain. While further research is needed, initial trials shows the promise this technique holds for patients with debilitating knee pain who are not ready or willing to undergo knee replacement surgery. While it may not treat the underlying cartilage destruction, evidence so far shows that this may be an effective way to manage the symptoms. In an article published in the Society of Interventional Radiology in March 2021, average pain scores decreased from eight out of ten before Genicular artery embolization (GAE) to three out of ten within the first week.
How is GAE performed:
Genicular artery embolization (GAE) is performed with moderate ‘twilight’ sedation as an outpatient procedure, meaning the patient will go home after the procedure. The procedure generally takes one to two hours. Our IR physicians will insert a small catheter (a thin hollow tube) into the artery of the patient’s upper thigh and, with the use of X-rays, guide the catheter to the arteries supplying the lining of the knee. Tiny particles are then injected through the catheter into these arteries, reducing the blood supply. This in turn reduces the inflammation associated with osteoarthritis, which alleviates the Pain.

(Initial (left) and final (right) angiograms of the knee after embolization. A circular marker was placed at the site of pain. The reduced blood-flow at the site of pain after embolization reduced inflammation of the knees)
What happens after the GAE procedure:
Patients go home the same and in most cases, relief begins to occur in two weeks, as the inflammation in the lining of the knee is reduced, relieving the knee pain associated with osteoarthritis.
Candidate for GAE:
GAE is a non-surgical treatment alternative for patients with knee pain due to osteoarthritis who have failed conservative therapy, such as anti-inflammatory medications or knee injections, and who do not wish to undergo or are ineligible for knee replacement surgery.
The following conditions make for a good candidate for GAE:
- Age: 40-80 years
- Moderate to severe knee pain
- Osteoarthritis based on x-ray, but without bony deformity/sclerosis
- Local knee tenderness
- Resistant/failed conservative treatment (NSAIDS/PT/joint injection)
Why Not (Contraindication)?
- Advanced arthritis based on x-ray
- Infection or malignancy
What you are to do before procedure (Preparation)?
- Book prior appointment if elective or get admission in causality if emergency
- Lab investigation (*PT/INR, CBC, Serum Creatinine, Viral markers), CT scan and previous records.
- 4-6 Hours fasting.
- If you are on blood thinner like Aspirin inform during appointment.
- One accompanying person
- Need to sign a consent form for procedure
Approx. Stay in hospital?
We have very fast and competent working team (Consultant, fellow, clinical assistant, technician and ward assistant) which provide you comfortable atmosphere and ease your nerves. Usual time of stay is around 1 Day.
Complications
Mild pain may occur after the procedure, for which analgesics will be given.
Resume to work?
You can resume your work after 2-3 days if existing disease allows.
For any Queries or Appointment please call 011 42251897/ +91 9958474870
If you’ve been diagnosed with a frozen shoulder, you may have been told that anti-inflammatories and physical therapy are your only treatment options. However, did you know that adhesive capsulitis embolization, a non-surgical, outpatient treatment, is being used to successfully relieve the pain caused by frozen shoulder?
What is Frozen shoulder?
Frozen shoulder (Adhesive capsulitis) – Frozen shoulder occurs when the strong connective tissue surrounding the shoulder joint becomes thick, stiff, and inflamed.
Symptoms- Debilitating pain with movement of shoulder joint, particularly during overhead activities and worsening of pain during night.

Who is at Risk of Developing Adhesive Capsulitis?
Frozen shoulder syndrome is a relatively common orthopedic condition. The prevalence in the general population is around 5% but increases up to 20% in people with diabetes. Other demographics that may be at a higher risk include:
- Adults aged 40–60
- People with hypothyroidism or hyperthyroidism
- People with heart conditions or Parkinson’s disease
- Women who have undergone mastectomy
- People with a recent shoulder injury, such as rotator cuff tears or fractures of the upper arm, collarbone, or shoulder blade
- Patients recovering from a medical procedure or condition that prevents them from moving their arm, usually when it is in a sling, shoulder wrap, shoulder brace, etc.
How to Treat Frozen Shoulder: The Conventional Approaches
The standard frozen shoulder treatment protocol typically involves a combination of:
- Applying heat and ice to the affected area, which can help reduce the pain and swelling.
- Physical therapy, including gentle stretching and range-of-motion exercises.
- Non-steroidal anti-inflammatory drugs (NSAIDs), which may help reduce inflammation.
- Corticosteroids ,a broad spectrum of drugs that decrease inflammation in the body and help reduce immune system activity.
- Numbing medications that are usually injected directly into the joint capsule to relieve shoulder pain.
- Arthroscopic Surgery, which is only prescribed in a small percentage of the most severe cases. These are typically patients with refractory pain or pain that cannot be controlled with less invasive means. If the surgery goes well, it can help loosen the joint capsule, allowing it to move more freely.
What is Adhesive Capsulitis Embolization?
Adhesive capsulitis embolization is an interventional radiology treatment for frozen shoulder that offers highly effective and long-lasting relief of the pain and stiffness caused by this chronic joint disease. Much of the pain experienced in frozen shoulder comes from abnormal blood vessels that form in the lining of the joint. Embolization works by blocking these abnormal blood vessels, causing inflammation to subside.
The procedure is performed by interventional radiologists – doctors specially trained to do minimally invasive vascular procedures, such as angioplasty and embolization, to treat a variety of conditions. During adhesive capsulitis embolization, a doctor positions a catheter through a small needle puncture in the arm and into the blood vessels that supply the joint using x-ray guidance. Once positioned, tiny microsphere particles are slowly released to slow the blood supply to the joint.
What you are to do before procedure (Preparation)?
- Book prior appointment if elective or get admission in causality if emergency
- Lab investigation (*PT/INR, CBC, Serum Creatinine, Viral markers), CT scan and previous records.
- 4-6 Hours fasting.
- If you are on blood thinner like Aspirin inform during appointment.
- One accompanying person
- Need to sign a consent form for procedure
Approx. Stay in hospital?
We have very fast and competent working team (Consultant, fellow, clinical assistant, technician and ward assistant) which provide you comfortable atmosphere and ease your nerves. Usual time of stay is around 1 Day.
Complications
Every anaesthetic carries a risk, although this is extremely small. The risk of infection with this procedure is extremely small as no incisions are made in the skin. Minor side effects include soreness and bruising at the puncture site. Most of these side effects resolve on their own in a few days.
Resume to work?
You can resume your work after 1 day if existing disease allows.
Results
Patients usually experience dramatic pain relief within a few days after this procedure. Recovery from embolization is fast because there is no incision to heal or stitches to be removed. The risk of bleeding and complications is lower than with invasive surgery.
Patients who undergo embolization have reported significant reductions in pain scores and use of pain medications, and significant increases in function scores. These improvements were sustained indefinitely from just one treatment.
For any Queries or Appointment please call 011 42251897/ +91 9958474870
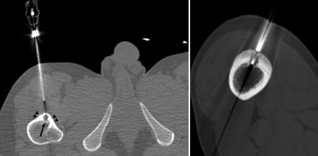
What is it?
Procedure in which the lesion is burnt by producing heat. A special needle is placed within lesion and radiofrequency ablation waves are applied for particular time and temperature. This procedure is done under general anesthesia and CT Scan guidance.


Why (Indications)?
It is treatment of choice for disease. Dramatic relief of pain occurs within 6 hours.
Why Not (Contraindication)?
If not fit for anesthesia.
What you are to do before procedure(Preparation)?
- Book prior appointment after anesthesia clearance.
- Lab investigation (*PT/INR, CBC, Viral markers), Imaging and previous records
- 6 Hours fasting.
- If you are on blood thinner like Aspirin inform during appointment.
- One accompanying person
- Need to sign a consent form for procedure
- Cash or ATM card
Approx. Stay in hospital?
We have very fast and competent working team (Consultant, fellow, clinical assistant, technician and ward assistant) which provide you comfortable atmosphere and ease your nerves. Usual time of stay is around 1-2 Days.
Complications:
Minor bone fracture (1-2%), Minor pain along needle tract may occur.
Resume to work?
You can resume your work after 2-3 days.
Results?
Recurrence rate is almost nil.
For any Queries or Appointment please call 011 42251897/ +91 9958474870

Joint injections are suggested when a joint is painful, swollen and is difficult to move. This can be caused by many conditions, but the most common is arthritis (inflammation of the joint). Injecting steroid medicine into the fluid around the joint can decrease pain and increase the range of movement. It can also treat disease within the joint itself.
Joint injections on their own are unlikely to offer a ‘cure’ but can be helpful alongside other treatments such as physiotherapy, splinting and other longer-term medicines.
What does the procedure involve?
The doctor will clean the area over the joint and insert a small needle into the fluid filled area around the joint bones. They will inject a small amount of contrast, a liquid that shows up well on x-rays, to confirm that the needle is in the correct position. When it is in the correct position, they will inject a mixture of steroid medicine and local anaesthetic. They will remove the needle and cover the injection site with a small plaster.
Why Not (Contraindication)?
Occasionally it is difficult to inject much medicine into the joint space, especially if the joint is extremely swollen. If this is the case, other medicines may be prescribed to reduce the swelling before the injections are tried again.
What you are to do before procedure (Preparation)?
- Book prior appointment if elective or get admission in causality if emergency
- Lab investigation (*PT/INR, CBC, Serum Creatinine, Viral markers), CT scan and previous records.
- 4-6 Hours fasting.
- If you are on blood thinner like Aspirin inform during appointment.
- One accompanying person
- Need to sign a consent form for procedure
Approx. Stay in hospital?
We have very fast and competent working team (Consultant, fellow, clinical assistant, technician and ward assistant) which provide you comfortable atmosphere and ease your nerves. Usual time of stay is around 1 Day.
Complications
Every anaesthetic carries a risk, although this is extremely small. The risk of infection with this procedure is extremely small as no incisions are made in the skin.
Resume to work?
You can resume your work after 1 day if existing disease allows.
For any Queries or Appointment please call 011 42251897/ +91 9958474870
