FNAC & Biopsy (Ultrasound and CT guided)
What is it?
Procedure in which 2 or 3 small pieces of tissue are taken with help of fine needle or biopsy needle under ultrasound guidance or CT guidance and local anaesthesia.

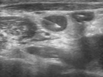
Ultrasound guided FNAC (procedure)

Making FNAC slides and liquid based cytology

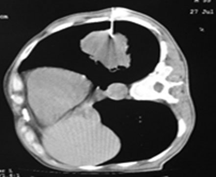
CT guided lung biopsy

Biopsy Sample
Why (Indications)?
To ascertain the cause of illness: infection or cancer. Appropriate treatment can be given after the diagnosis is made.
What you are to do before the procedure (Preparation)?
- Book prior appointment
- Visit us in OPD (9 am -5 pm) after breakfast, take prescribed medicine and with empty bladder (*No need to hold urine)
- Referring Doctor prescription, previous lab results (*PT/INR), imaging etc.
- If you are on blood thinner like Aspirin or warfarin, inform during appointment.
- One accompanying person
- Need to sign a consent form for procedure
Approximatestay in hospital?
We have a very fast and competent working team (Consultant, fellow, clinical assistant, technician and ward assistant) which provide you comfortable atmosphere and ease your nerves. Usual time of stay is around one hour.
Liver, Renal, Prostate or any high risk biopsy requires continuous monitoring for which we provide day care (4-8 hrs.) facility.
Complications
These are very safe procedures performed under local anaesthesia, with a low (1%) complication rate. You may have minor pain after the biopsy for which we provide analgesics.
Resume to work?
You can resume your work after 4 hours if existing disease allows.
Results: When and How?
FNAC: Next working day if done before 12 pm. Accuracy is about 80-85 %. In approx. 10-15% cases, repeat FNAC may be required, for which you will have to pay only the lab charges (20%)
Biopsy: Results takes approx. 72 hrs.
Biopsy reports are confidential reports; patient/attendant can take the reportfrom the histopathology counter (SSRB block, first floor) after confirmation of patient’s unique hospital registration number.
For any Queries or Appointment please call 011 42251897/ +91 9958474870
