Lymphangiography and Lymphatic Interventions
A lymphangiogram is a special x-ray of the lymph nodes and lymph vessels.
The lymph nodes and vessels are not seen on a normal x-ray, so a dye is injected into the body to highlight the area being studied.
The skin over your groin will be numbed and then a thin needle is inserted under ultrasound guidance into a lymph node in your groin. Contrast will be injected through the needle and into the lymph node.
A type of x-ray machine, called a fluoroscope, projects the images on a TV monitor. The provider uses the images to follow the dye as it spreads through the lymphatic system up your legs, groin, and along the back of the abdominal cavity to identify the site of lymphatic leak. Then, embolizing agent (blocking agent) is used to block the site of leak.


Chylous leak

Dye travelling upwards from lymph nodes

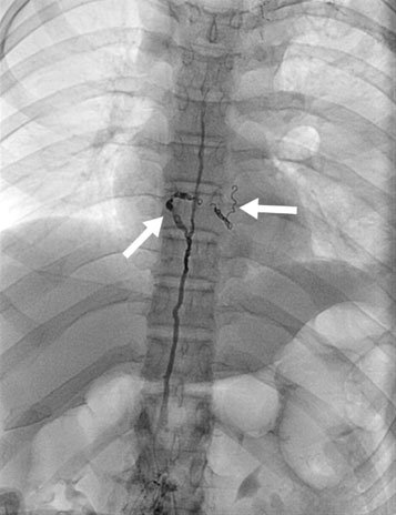
Lymphangiography showing leak

Embolization of leak (different patient) using coils
Why (Indications)?
Provides structural and functiona linformation regarding the lymphatic system.
Primarily indicated in patients with chylous leaks.
Also helps in identifying site of lymphatic obstruction, abnormal lympho-lymphatic, or lymphovenous connections.
Why Not (Contraindication)?
These include pulmonary insufficiency and a right to left cardiac shunt.
What you are to do before procedure(Preparation)?
- Visit us in OPD for assessment of varicocele with ultrasound. Get lab investigation (*PT/INR, Serum Creatinine, Viral markers) done and book your appointment
- Get admission in day care on scheduled time and date with 4-6 Hours fasting
- If you are on blood thinner like Aspirin inform during appointment.
- One accompanying person
- Need to sign a consent form for procedure
Approx. Stay in hospital?
We have very fast and competent working team (Consultant, fellow, clinical assistant, technician and ward assistant) which provide you comfortable atmosphere and ease your nerves. Usual time of stay is around 2-3 days.
Complications:
- Mild pain/burning sensation
- Infection
- Failure of therapy
Resume to work?
You can resume your work after 5-7 days, if the existing disease allows.
Results?
Success rate is approx. 80-90 %
Lymphedema

Diagnosis
If you're at risk of lymphedema — for instance, if you've recently had cancer surgery involving your lymph nodes — your doctor may diagnose lymphedema based on your signs and symptoms.
If the cause of your lymphedema isn't as obvious, we may order imaging tests to get a look at your lymph system. Tests may include:
- MRI scan. Using a magnetic field and radio waves, an MRI produces 3-D, high-resolution images.
- CT scan. This X-ray technique produces detailed, cross-sectional images of your body's structures. CT scans can reveal blockages in the lymphatic system.
- Doppler ultrasound. This variation of the conventional ultrasound looks at blood flow and pressure by bouncing high-frequency sound waves (ultrasound) off red blood cells. Ultrasound can help find obstructions.
- Radionuclide imaging of your lymphatic system (lymphoscintigraphy). During this test you're injected with a radioactive dye and then scanned by a machine. The resulting images show the dye moving through your lymph vessels, highlighting blockages.
IR department in collaboration with Plastic surgery offers solution to the diagnosed condition.
For any Queries or Appointment please call 011 42251897/ +91 9958474870
