Pain Management in Delhi
What is it?
Facet joint block is an injection of local anaesthetic and steroid that reduces inflammation in facet joint space of vertebrae of spine and relieves back pain. It is a minimally invasive procedure and we do it under CT guidance. Facet joints are made of cartilage and are responsible for your flexibility and ability to bend and twist. Your nerves pass through them to go to other parts of your body.The vertebrae in spine have two
Why? (Indications)
- Tired of taking pain medications every day for back pain.
- Back pain due to injury, arthritic changes or stress on the spine.
- Help tolerate physical therapy or other rehabilitative exercises.
Why not? (Contraindications)
- Pregnant women
- Allergy to local anaesthetics
- Severe uncorrectable coagulopathy
What are you supposed to do before procedure? (Preparation)
- Book an appointment with us and visit us in OPD.
- You may need some blood tests prior to procedure.
- Stop any blood thinner drugs after consultation.
- Have an early morning , light breakfast on the day of procedure.
- Bring any MRI/CT scans done earlier.
- One accompanying person.
Approximate stay in hospital
Facet joint injections are outpatient procedure. The maximum stay in hospital can be 1 day. No sedation is required.
Complications
- The risk of complications are very low.
- Infection
- Bleeding
- Neurological damage
- Slight numbness in your back or neck that normally disappears after a couple hours
Resume to work
You can resume work by next day.

Results
You may notice the pain subsides for a few hours immediately following the injection due to local anaesthetic. Two to five days later, you should experience even longer-lasting pain relief as the anti-inflammatory agent kicks in. You can expect to see a significant reduction of your pain within two weeks at most. Sometimes, lasting relief is seen within 48-72 hours following successful procedure.
How long the pain relief lasts is different for each person. It may last for as long as six months, which gives your body time to heal. Rest and activity modification, compounded by pain relief, often can be the best treatment, helping you avoid surgical options.
For any Queries or Appointment please call 011 42251897/ +91 9958474870
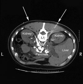
What is a celiac plexus block?
Celiac plexus blocks are procedures of pain management by injecting medication that helps to relieve abdominal pain, mostly due to cancer or chronic pancreatitis.
The celiac plexus is a bundle of nerves that surrounds the abdominal aorta. Blocking these nerves by injecting medicine will aid patient with relief in pain and give better quality of life.
How is a celiac plexus block done?
First, an intravenous medication is given to relax the patient and asked to lie on prone position on an x-ray table. The Interventional radiologist will numb an area of skin on back of patient with a local anesthetic. Then, guided by an x-ray, he or she will:
- Insert a thin needle into your back, next to spine, and inject anesthetic
- Insert a second needle on the other side of spine
- Inject dye to confirm that medication will go to the correct spot
- Inject pain medication, such as epinephrine, clonidine or steroid; alcohol or phenol also may be injected to destroy the nerves
Usually, the procedure takes less than 30 minutes, and patient can go home the same day.

Why (Indications)?
A celiac plexus block may be right for you if you have chronic abdominal pain — especially linked to abdominal cancers — which does not respond to other pain medication. There’s a better chance of a block relieving your pain if you have the procedure earlier in your illness.

Why Not (Contraindication)?
- severe uncorrectable coagulopathy or thrombocytopenia.
- abdominal aortic aneurysm.
- eccentric origin of the celiac artery.
- inability to visualize local anatomy due to large overlying soft tissue mass.
What you are to do before procedure (Preparation)?
- Visit us in OPD for assessment of varicocele with ultrasound. Get lab investigation (*PT/INR, Serum Creatinine, Viral markers) done and book your appointment
- Get admission in day care on scheduled time and date with 4-6 Hours fasting
- If you are on blood thinner like Aspirin inform during appointment.
- One accompanying person
- Need to sign a consent form for procedure
Approx. Stay in hospital?
We have very fast and competent working team (Consultant, fellow, clinical assistant, technician and ward assistant) which provide you comfortable atmosphere and ease your nerves. Usual time of stay is around 1 day.
Complications:
The risk of complication from a celiac plexus block is very low. However, there could be bruising or soreness at the injection site. Serious complications, including infection, collapsed lung, nerve damage and bleeding, are uncommon.
Side effects can include:
- Low blood pressure
- Diarrhea
Resume to work?
You can resume your work after 2-3 days, if existing disease permits. Patient can continue their regular diet and medications immediately, but patient should do not drive or do any rigorous activity for 24 hours after the procedure.
Results?
How long the pain relief lasts is different for each person. For some, celiac plexus blocks can relieve pain for weeks. For others, the relief can last years. Many can return to their normal activities.The nerve block may last several days, but it may last longer with each repeat injection.
For any Queries or Appointment please call 011 42251897/ +91 9958474870
